Chez le chien, et plus rarement chez le chat, la rupture du ligament croisé antérieur (LCA) survient souvent progressivement, en raison d’une dégénérescence ligamentaire.
Contrairement à l’humain, où la rupture est le plus souvent due à un traumatisme, elle résulte ici d’un affaiblissement du ligament au fil du temps.
L’articulation du genou (ou grasset) se compose de :
- Deux os : fémur et tibia, articulés par la rotule.
- Des ligaments, dont les ligaments croisés qui stabilisent le genou.
- Les ménisques, qui agissent comme amortisseurs.
Lorsque le LCA est rompu, le tibia glisse vers l’avant par rapport au fémur, entraînant :
- Boiterie plus ou moins marquée.
- Douleur à l’appui et instabilité articulaire.
- Inflammation et arthrose progressive.
En quoi consiste la TPLO ? #
La TPLO (Ostéotomie de nivellement du plateau tibial) vise à modifier l’angle du plateau tibial pour empêcher ce glissement.
- Plateau tibial naturel : inclinaison d’environ 20 à 25°.
- Après une TPLO : angle corrigé autour de 5°, rendant l’articulation stable même sans ligament croisé.
Les étapes de l’intervention : #
1) Bilan préopératoire
Avant la chirurgie, un examen clinique complet et des radiographies précises permettent de mesurer l’angle du plateau tibial et de s’assurer que l’animal peut recevoir une anesthésie générale.
2) Chirurgie
Sous anesthésie générale, le vétérinaire réalise une coupe circulaire dans le tibia, fait pivoter l’os pour obtenir l’angle souhaité, puis fixe la position à l’aide d’une plaque et de vis en titane ou acier chirurgical.
3) Vérification des ménisques
Les lésions méniscales accompagnent environ 50 % des ruptures. Les tissus abîmés sont retirés pour éviter les douleurs persistantes.
4) Hospitalisation
L’animal reste en général 24 à 48 heures sous surveillance afin d’assurer un bon appui, une reprise alimentaire et un contrôle de la douleur.
Précautions préopératoires : #
- L’animal doit être à jeun avant l’opération.
- Votre vétérinaire vous indiquera si des médicaments spécifiques doivent être administrés ou arrêtés avant l’intervention.
Possibilités et limites de la TPLO #
Avantages de la TPLO :
- Amélioration rapide de l’appui post-opératoire,
- réduit la progression de l’arthrose,
- efficace sur ruptures totales ou partielles.
Les Limites de la TPLO :
- N’efface pas l’arthrose déjà présente,
- Exige une rééducation stricte et un suivi régulier,
- Coût plus élevé que certaines autres techniques.
Convalescence et rééducation #
- Durée : 8 à 12 semaines pour la cicatrisation osseuse.
- Premières semaines : repos strict, sorties en laisse courte uniquement.
- Physiothérapie progressive : massages, mobilisation douce, hydrothérapie pour préserver la masse musculaire.
- Contrôles vétérinaires : radiographies à 6–8 semaines pour confirmer la cicatrisation avant reprise des activités normales.
À la maison, il est essentiel de :
- Maintenir un poids optimal pour protéger l’articulation,
- préparer un espace calme, antidérapant et éviter sauts ou jeux brusques,
- suivre les prescriptions du vétérinaire concernant médicaments, pansements et soins de plaie.
La plupart des chiens retrouvent une activité normale en 3 à 4 mois ; les chiens sportifs peuvent, après validation vétérinaire, reprendre l’entraînement.
Complications possibles après une TPLO #
Comme toute intervention chirurgicale, la TPLO comporte des risques :
- Retard de cicatrisation osseuse,
- desserrement de l’implant,
- infection postopératoire,
- tendinite rotulienne ou nouvelle déchirure méniscale.
Un suivi post-opératoire rigoureux limite fortement ces risques.
Coûts d'une TPLO et prise en charge #
Le tarif dépend de la taille de l’animal, des médicaments prescrits, de la complexité opératoire et du matériel utilisé.
Votre vétérinaire pourra vous remettre un devis précis avant la chirurgie. Certaines assurances santé animale prennent partiellement en charge l’intervention et la rééducation.
Autres options chirurgicales #
Bien que la TPLO soit une technique fréquemment recommandée, d’autres solutions existent pour traiter les ruptures des ligaments croisés. La Tibial Tuberosity Advancement (TTA) en est un exemple. Certaines chirurgies visent par ailleurs à remplacer directement le ligament ou à renforcer la capsule articulaire pour stabiliser le genou. Le choix de la méthode dépend de plusieurs critères, notamment la condition spécifique de l’animal et les recommandations du vétérinaire.

Vue radiographique préopératoire de profil du grasset gauche montrant une ostéophytose périarticulaire marquée

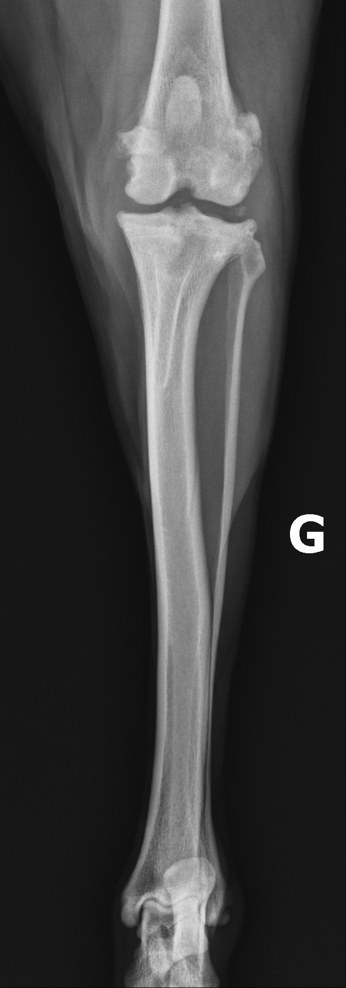
Vue radiographique préopératoire de face du grasset gauche montrant des signes de synovite (en lien avec la rupture du ligament croisé crânial diagnostiquée) et une ostéophytose périarticulaire marquée

Vue radiographique de profil du grasset gauche suite à la réalisation d'une TPLO dans le traitement d'une rupture du ligament croisé crânial
